REEDUCACION DE HABITOS MUSCULARES
La reeducación muscular oro-facial requiere un grado de madurez de carácter y un autocontrol, por parte del paciente, que hace inútil o contraproducente el intentarla antes de la edad adecuada.
Algunos pacientes son imposibles de reeducar, incluso en edades juveniles o adultas. Los niños deficientes tampoco pueden ser reeducados.
La edad ideal es de los 9 a los 11 años. Todos los hábitos están basados en una hiperquinesia; algunas veces, asociada al carácter o constitución neuro-sensorial muscular del paciente.
¿Cómo corregir de manera eficiente y controlada la mordida abierta anterior y normalizar el hábito de respiración bucal en un paciente en dentición mixta?
Uno de los desafíos que involucra no solo al ortodoncista sino también al pediatra, otorrino y al fonoaudiólogo. Una vez constatado que no existen problemas que dificulten el paso del aire por vía nasal la reeducación es un proceso que lleva tiempo y esfuerzo no solo para el paciente sino también para los padres que deben acompañar todo este tratamiento.
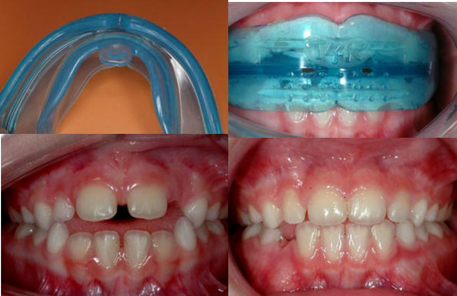
La necesidad de un protocolo que sea confiable y eficiente ha llevado a desarrollar un sistema de aparatos llamados Trainers (Aparato miofuncional) que de forma activa y controlada ayudan a normalizar la respiración y como consecuencia corregir la mordida abierta anterior.
Están confeccionados con un material de silicona que tiene la gran ventaja de ser elástico, no deformable y al no ser poroso no se impregnan de sabores desagradables.
Son un verdadero aparato miofuncional, alejan los músculos de la mejilla de los rebordes alveolares permitiendo el desarrollo normal en sentido transversal que se ve estimulado por la acción de la lengua .Por esta razón corrigen las mordidas cruzadas laterales cuando se los utiliza en dentición temporaria o mixta temprana.
La aleta que presenta en la parte interna superior sirve de recordatorio para ejercitar la correcta posición de la lengua y es de gran ayuda en todo el proceso de rehabilitación funcional y corregir la deglución atípica
Protocolo de uso.
Se aconseja comenzar su uso durante el día para que el niño acepte la aparatología ,recordando siempre que debe tener al alta del otorrino que confirme que las vías aéreas están libres .En caso contrario no es posible que mantenga el aparato en la boca por mucho tiempo .
El protocolo más aconsejado es el siguiente:
- 1er día: 30 minutos descansar 30 minutos Repetir 2 veces
- 2do al 4to día : 1 hora descansar 30 minutos Repetir
- A partir del 5to día se aconseja su uso toda la noche con refuerzos diurnos de 1 a 2 horas
Cuando el paciente mantiene el aparato en la boca toda la noche es signo que ya puede respirar por la nariz sin problemas y que se ha normalizado el hábito de respiración bucal .
La corrección de la posición lingual puede llevar más tiempo y debe ser controlada en cada sesión tanto por el ortodoncista como por el logopeda
Los Trainers para esta etapa se presentan en dos tipos de silicona.
Para comenzar se aconseja la utilización del Trainer de color azul, silicona suave que es muy fácilmente aceptado por los pacientes ya que es muy cómodo de usar .
Al igual que en toda la serie de estos aparatos miofuncionales la lengüeta debe ir ubicada hacia el maxilar superior
Como segunda etapa se aconseja la utilización del Trainer de color rojo que se presenta con una silicona más rígida siendo su forma y tamaño similar al anterior
¿A dónde debo acudir para valorar si mi hijo/a necesita usar un aparto miofuncional en Boadilla del Monte?
En Dentisalud, contamos con especialistas en Ortodoncia y odontopediatría, que podrán valorar y tratar su problema.
REVISION DENTAL
Tu dentista en Boadilla del Monte te ayuda a encontrarle una solución a tu problema de salud dental y resolver tus dudas. Gracias por la confianza de permitirnos darte la atención dental que mereces. Cada profesional que trabaja en nuestro equipo se dedica a la especialidad en exclusiva
Pide cita para una valorar la mordida abierta o mordida cruzada en Boadilla del Monte
Comunícate con nosotros por teléfono al 91 679 86 90, o escríbenos al WhatsApp 633 744 904, incluso puedes tomar cita a través de nuestra web www.dentisalud.es
Clínica dental en Boadilla del Monte
En la Dentisalud, tu clínica dental en Boadilla del Monte, garantizamos el éxito del tratamiento de tus hijos , con los mejores profesionales. Cumplimos rigurosos protocolos de esterilización con lo cual nuestros pacientes pueden sentirse seguros y protegidos.
Dentistas en Boadilla del Monte
DIAGNÓSTICOS CONFIABLES
La intervención de varios expertos garantiza un diagnóstico completo y una planificación conjunta, los mejores odontólogos en Boadilla están en contacto permanente minimizando los imprevistos que puedan surgir.
Odontólogo en Boadilla del Monte
TODO EN UN MISMO LUGAR
Contamos con todos los especialistas y la tecnología necesaria para que no tengas que desplazarte a otros centros y corregir los problemas de mordida que tu hijo/a pueda tener.
