incial
Final
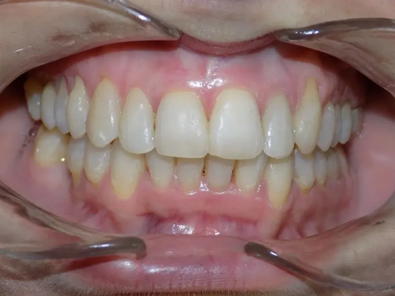
Corrección de Sonrisa gingival con Ortodoncia
Así empezamos
Así terminó
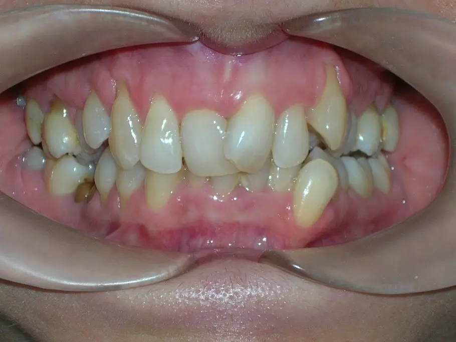
Corrección sin extracciones de un apiñamiento severo
Progreso
Resultados
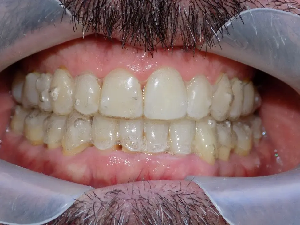
Corrección de un arco muy estrecho con apiñamiento con un sistema de brackets autoligado/ expansivo.
20meses de tratamiento
Caso complejo
Excelente resultado sin sacar ningún diente
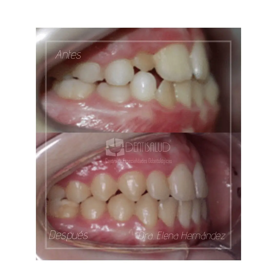
Ortodoncia en adultos
Antes
Después
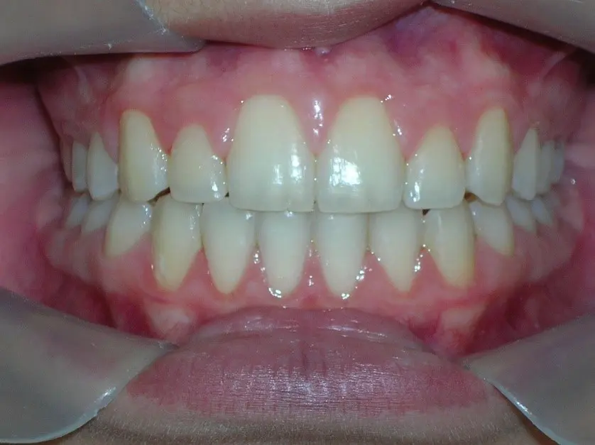
Después de la Ortodoncia, se recortaron las encías (gingivoplastia)
Antes
Después
Ortodoncia en adultos con Invisaling
Perfil biprotruso
Perfil plano
Ortodoncia en adolescentes con apiñamiento severo
Con Brackets
antes y después
Ortodoncia en adolescentes, en la mejor edad para corregirlos
Usamos minitornillos
Llevamos todos los dientes superiores para atrás
Ortodoncia con anclajes esqueléticos para correcciones muy severas
Excesos de espacios entre los dientes
Espacios cerrados y contactos adecuados
Cambios sutiles
Que lo cambian todo
Sonrisa estrecha
Sonrisa amplia y armónica
Arcada colapsada y retrusiva
Arcada amplia y simétrica
Sonrisa estrecha, dientes apiñados
Conseguimos una sonrisa amplia, alineada y simétrica.
Ortodoncia para corregir asimetría y canteo en la mordida
Apiñamiento resuelto
Sin extracciones
Ausencia del lateral
Abrimos el espacio para un implante.
Ortodoncia con Invisalign
Mordida cruzada unilateral
Corrección de la mordida y remodelado de los bordes dentales
Ortodoncia con brackets y estética con Composite
